Werbung
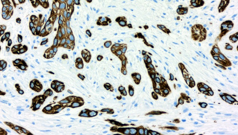
Artikelfoto Eine Keratin-7-Färbung macht den Bauchspeicheldrüsentumor sichtbar. Foto: Bosch Health Campus / S. Johnsen

Bauchspeicheldrüsenkrebs: Wie sein Widerstand gegen Chemotherapien gebrochen werden kann

Universitätsmedizin Göttingen: Klinische Forschungsgruppe 5002 arbeitet am Durchbruch mit

Eine neue Studie mit Beteiligung von Wissenschaftler*innen der Universitätsmedizin Göttingen zeigt, wie Therapieresistenzen bei Bauchspeicheldrüsenkrebs verhindert oder rückgängig gemacht werden können. Möglicherweise genügt die Zugabe eines Wirkstoffs, um bisher erfolglose Chemotherapien wirksam zu machen. Veröffentlicht in der führenden inter-nationalen Fachzeitschrift für Gastroenterologie und Hepatologie „Gut“.

Bauchspeicheldrüsenkrebs gehört nach wie vor zu den tödlichsten Krebsarten überhaupt. In Deutschland werden dieses Jahr voraussichtlich rund 21.000 Menschen die Diagnose erhalten. Davon erliegt die Hälfte innerhalb des ersten halben Jahres der Krankheit, nur zehn Prozent überleben fünf Jahre. Neben der späten Diagnose ist eine der größten Hürden bei der Behandlung von Bauchspeicheldrüsenkrebs die erstaunliche und einzigartige Fähigkeit der Tumorzellen, sich der Behandlung zu widersetzen, indem sie ihre molekulare Identität ändern.

Ein Team von deutschen und amerikanischen Wissenschaftler*innen hat nun einen Weg entdeckt, solche molekularen Veränderungen so zu verhindern oder wieder rückgängig machen zu können, dass sich die Tumorzellen des Bauchspeicheldrüsenkrebs der Wirkung bestimmter Chemotherapien nicht mehr entziehen können. Die Untersuchungen wurden unter der Leitung von Prof. Dr. Steven A. Johnsen durchgeführt, der bis Februar 2019 als Professor an der Klinik für Allgemein-, Viszeral- und Kinderchirurgie der Universitätsmedizin Göttingen (UMG) tätig war und jetzt Wissenschaftlicher Leiter des Robert Bosch Centrums für Tumorerkrankungen (RBCT) am Bosch Health Campus in Stuttgart ist. Beteiligt waren unter anderem Forschende und Ärzt*innen der an der UMG angesiedelten Klinischen Forschergruppe KFO 5002.

Der Gruppe um Johnsen ist es gelungen zu identifizieren, wie bestimmte Gene aktiviert werden, die Bauchspeicheldrüsenkrebs behandlungsresistent gegenüber Chemotherapien machen. Zunächst beobachteten die Forschenden, dass – anders als erwartet – der Zustand jener Gene, die mit der Therapieresistenz in Verbindung gebracht werden, während der Behandlung mit Chemotherapeutika unverändert bleibt. „Der große Wert unserer Arbeit besteht darin, dass wir aufgrund unserer Erkenntnisse bestimmte Substanzen, die derzeit in klinischen Studien getestet werden, mit bisher verwendeten Chemotherapien kombinieren können“, sagt Prof. Steven Johnsen. „Wir hoffen, dass die Zugabe eines weiteren Wirkstoffs ausreicht, um eine Therapieresistenz zu verhindern oder das Ansprechen auf die Therapie bei resistenten Tumoren wiederherzustellen.“

Studienleiter Johnsen betont allerdings auch, dass es noch ein langer Weg ist, die Erkenntnisse aus der Laborforschung in die klinische Praxis zu übertragen. Dafür will er eng mit seinen klinischen Kolleg*innen in Essen, Göttingen, Stuttgart und Ulm zusammenarbeiten.

Um die Behandlungsmöglichkeiten bei Bauchspeicheldrüsenkrebs zu verbessern, fördert die Deutsche Forschungsgemeinschaft (DFG) seit 2020 eine Klinische Forschungsgruppe (KFO) an der Universitätsmedizin Göttingen (UMG) für vier Jahre mit rund 5,9 Millionen Euro. 

Die Leitung der KFO 5002 liegt bei Prof. Dr. Volker Ellenrieder und Prof. Dr. Elisabeth Heßmann.